Microfotografías
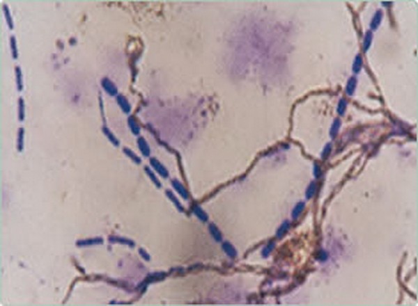
- Material particulado y filamentos de bacterias del grupo Leptothix, producto de una biopelícula obtenida mediante el uso de la Celda de flujo. Nótese a la izquierda un filamento o vaina parcialmente vacío.
- Material particulado y filamentos de bacterias del grupo Leptothix, producto de una biopelícula obtenida mediante el uso de la Celda de flujo. Nótese la presencia de una Diatomea junto a un filamento bacteriano.
- Bacterias reductoras de sulfato con su típica forma de coma o vírgula (medialuna) obtenida de un cultivo puro mediante el uso de un microscopio electrónico de barrido (SEM). Aumento 10000 X.
- Bacteria reductora de Sulfato. Imagen obtenida mediante el uso de un microscopio electrónico de barrido (SEM). Aumento 15000 X.
- Bacterias filamentosas y Diatomeas obtenidas mediante el uso de una Celda de flujo en una perforación utilizada como fuente de agua industrial. Sólo hay tres trabajos en la literatura universal que citan la existencia de algas en perforaciones.
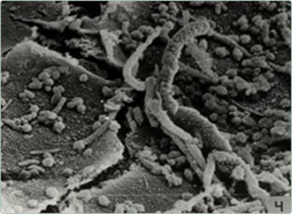
- Estructuras bacterianas observadas sobre granos de Sílice, pertenecientes a testigos obtenidos de una corona extraída de 1800 m. de profundidad en un yacimiento petrolífero que manifestaba souring. Para esta microfotografía se utilizo microscopio electrónico de barrido. Aumento 5000 X.
- Bacteria del género Gallionella, oxidante del Fe, aislada de un tanque pulmón. Nótense sus característicos pedúnculos helicoidales y el material ferroso precipitado y retenido entre los mismos.
- Pedúnculos de Gallionella y filamentosas de Sphaerotilus Leptothrix obtenidos con la Celda de flujo en una perforación. Gentileza CIS – UNR.
- Pedúnculos de Gallionella obtenidos con el uso de la Celda de flujos en una perforación. Gentileza CIS – UNR.
- Aislamiento de diferentes colonias de levaduras en agar Sabouraud adicionado de extracto de levadura y cloranfenicol.
- Fenómeno de adherencia de mohos sobre alineaciones de aluminio 2024. Microfotografía Electrónica de Barrido (MEB)
- Ruptura de la película pasivante de un metal por liberación de ácidos orgánicos y otros metabolitos. (Microfotografía MEB)
- Fenómeno de corrosión localizada producida por Hormocones resinae sobre aleaciones de aluminio 2024 después de una incubación de 60 días. (Microfotografía MEB)
- Ataque de Trichosporon sp. Sobre alineaciones de aluminio 2024 en medio mineral/JP1 luego de 30 días de incubación a 25º C. (Microfotografía MEB, aumento x 5000)





























